朝霞中央接骨院です
こんにちは
3月最終週になります(`・ω・)
外も暖かくなってきました!そろそろお花見などといった行楽の予定を立てる方もいるのではないでしょうか?
今回は少し趣向を変え季節にぴったりな花見の由来などを書いていこうと思います
そもそも春には桃の花や菜の花などたくさんの花が咲くのになぜ花見といえば桜なのでしょうか?
これは平安時代から桜が花の代名詞となっていた事からきています
平安貴族は桜が咲くと宴を開き歌を詠み桜を愛でていたそうです
そして農民にとっての花見は豊作祈願の行事でもありました
桜の下で神様をもてなし桜の咲き方でその年の収穫を占い種もみを撒く準備をしていたそうです。
行楽としての花見が一般的に広まったのは江戸時代からといわれています。
桜といえば桜餅もこの季節の食べ物ですね…この桜餅にも関東と関西で違いがあるのです
関東は『長命寺』という焼いた薄い生地であんこを包み桜の葉でくるんだもの
関西は『道明寺』というもち米が原料の道明寺粉を使用した餅であんこを包み桜の葉でくるんだもの
今はどちらもお店に行けば売っていますが江戸で考案された長命寺が関西に伝わる過程で道明寺へと返来たようです どちらも鮮やかでこの季節にぴったりですね
因みに桜餅の葉っぱは
★桜の葉の香りづけ
★餅の乾燥を防ぐ
という効果があります。
桜餅の香りは葉に含まれる『クマリン』という成分によるものですがこのクマリンは抗酸化作用や抗菌性があります。一方で肝毒性があるので一度に大量に食べるのは避けましょう!
高宮接骨院も2日の日曜日にお花見を行う予定です
昨日のような寒い天気にならないように今からひっそりと祈願しておきます!|ω・)
朝霞中央接骨院 4月予定表
2日(日) 包帯交換のみ
9日(日) 包帯交換のみ
16日(日) 包帯交換のみ
23日(日) 包帯交換のみ
29日(土) 午前診療
30日(日) 包帯交換のみ
上記の予定で休診・診療時間の変更をさせていただきます。
ご迷惑をおかけしますがよろしくお願いいたします。
08時09分
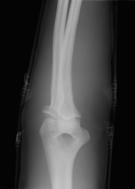
橈骨頭骨折
[受傷原因]
橈骨頭骨折
第1回目、整復後のX-Pです。(左側の写真)
橈骨頭の転位25°の傾斜残存しているので、もう少し戻していく。
第2回目の整復で橈骨頭傾斜18°まで戻りました。(右側の写真)
保存療法の限界25°はクリアしていますので、このまま保存いきます。
ラグビー選手の強靭な体格の患者さんです。
回復力旺盛と思います。
08時34分
肩関節脱臼骨折
[受傷原因]
肩関節前方脱臼、上腕骨大結節剝離骨折
整復後のx-pです。
骨頭の位置がやや下垂しているようです。
関節唇に剥離も診られます。
同愛記念病院にて、MRI検査をおこなったところ、関節唇剥離と関節の不安定認め柔道のトップ選手ということもあり、手術摘要としました。
12時21分
本院 高宮接骨院です!
こんにちは!
3月も終わりに近づいてきており、だんだんと暖かくなってきました。
暖かくなってきたからこそ、私たちと体を動かしてみませんか?
高宮接骨院では毎週木曜日、10時~10時45分まで、4Fの柔道場にてバランスボール・ストレッチ教室をおこなっています。
参加費は無料でおこなっているので、一緒に「運動不足解消」「機能改善」「転倒予防」「脳の活性化」をしてみませんか?
気になる方は当院にお電話ください(^O^)/
☆初めての方でも大歓迎です。☆
当院に来患されていない方も是非お越しください‼
日曜 祝日 診療中
第1,3,5日曜:トレセン前タッグ接骨院(板橋)
第2,4日曜 :ふれあい館(千葉)
毎週 日曜 :高宮接骨院(板橋)
往診 送迎いたします
交通事故随時受付中
ライズトロン(超短波)、レボックス、浮腰式腰痛治療器等の治療が受けられます
※各店舗により異なりますのでご確認ください。
16時23分
朝霞中央接骨院です
11時13分











