手首の骨折
手の骨折
男 62歳 ゴルフをしていて、斜面で足を滑らせ、クラブを握ったまま、手背ヲついて受傷す。コーレス骨折の逆のパターンですね。掌側に完全に転位いてます。ちょっと大変な骨折ですが、うまく整復されました。スミス骨折はこの後が大変です。掌側シーネと背側シーネをうまく使い、てこの原理で圧迫をくわえるように、加減しながら挟むように固定します。うまくいきましたね。


両前腕骨骨折
男子 6歳 鉄棒で遊んでいて、誤って落下して受傷する。両前腕骨骨折でかなり湾曲していますが、小児ですので比較的に容易に整復されました。


手の骨折
男子 10歳 跳び箱をしていて手をつき受傷 転位の大きい骨折でした。橈骨が多少側方にズレていますが、このぐらいは自家矯正で問題なく治癒します。


手の骨折
女 55歳 階段から足を踏み外し転倒した際、手をつき受傷した。背側転位も上手く整復されました。



手の骨折
男子 13歳 体操でバック転をした時手をつき受傷する。

手首の骨折
女 68歳 自宅玄関でつまずき、左手をついて受傷す。


R2.12.14 女性 65歳 右前腕骨遠位端骨折 観血か無血か?
R2.12.14.ゴルフに行く途中で、ガソリンスタンドに寄った際、路面が凍結していたため足を滑らせて転倒したとき、右手をついて転倒し受傷したもの。
受傷後、直ちに近位病院に救急搬送され、X-P検査の後、手術が必要と言われ、仮固定をして帰宅。
翌日、当院に来院。
初診 外貌上変形著明、腫脹、運動制限著明、X-Pにて橈骨の関節面まで骨折を認め、橈側、背側への転位も大きく、いわゆる粉砕骨折を呈し、保存療法の場合、支点となる橈骨面が遠位骨片を支えきれないだろうと思い、ラケット牽引にて末梢骨片を持続牽引することを選択し整復した。
整復後 大分苦労したが、良い状態で整復されておりアライメントも良く、顧問医のドクターからもエクセレントとおっしゃっていただき、ホット一安心でした。
後は、経過観察をしっかり取り組み、5週間後、固定除去し、オンパー浴、機能訓練等をして、経過良好にて、3か月後には、ゴルフができるようになりました。

受傷後

受傷後

受傷後

整復後

整復後

整復後
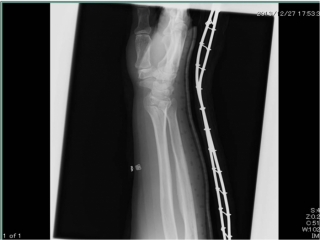
H25.12.26 60歳男性 橈骨遠位部骨折
橈骨遠位部骨折
スロープを降りていて転倒、手を衝き受傷。
提携医にてX-p検査後、確定診断をいただき
整復後、オルフィットエコ、シャーレにて固定。

受傷後(正面)

受傷後(側面)

整復後(正面)

整復後(側面)












